Viêm amidan là một trong những bệnh lý phổ biến, thường gặp nhất ở trẻ em. Viêm amidan vốn dĩ không phải là bệnh nguy hiểm nhưng nếu không được điều trị kịp thời, bệnh có thể thành mãn tính và có những biến chứng nguy hiểm, ảnh hưởng không nhỏ tới sức khỏe và sự phát triển ở trẻ.
Bố mẹ cần làm gì khi trẻ bị viêm amidan?
Viêm amidan ở trẻ nhỏ có nhiều nguyên nhân, một số nguyên nhân chính khiến trẻ bị viêm amidan ngoài vi khuẩn, virut còn có như:

Cần chú ý tới những dấu hiệu của trẻ bị viêm amidan.
– Do cấu tạo của amidan: Cấu tạo của amidan bao gồm nhiều khe, hốc. Do đó tạo điều kiện thuận lợi cho vi khuẩn, virus trú ngụ và gây bệnh.
– Do sức đề kháng yếu: Trẻ em vốn có sức đề kháng không bằng người lớn, đặc biệt ở những trẻ bị còi xương, suy dinh dưỡng, chậm lớn… càng khiến nguy cơ mắc bệnh amidan cao hơn.
– Do việc vệ sinh chưa tốt: Những trẻ vệ sinh răng miệng, tay chân không tốt sẽ tạo điều kiện cho vi khuẩn xâm nhập vào vùng họng, gây bệnh amidan.
– Do thời tiết thay đổi: Những dạng thời tiết cực đoan như quá nóng, quá lạnh hay thay đổi thời tiết đột ngột khiến cho trẻ dễ bị cảm mạo, cảm cúm, mắc các bệnh về đường hô hấp… khi đó vi khuẩn dễ dàng xâm nhập vùng họng khiến trẻ bị viêm amidan.
Bên cạnh đó bé bị viêm amidan còn bởi một số nguyên nhân khác như: trẻ uống nước đá lạnh, trẻ thở bằng miệng, trẻ ăn những thực phẩm không hợp vệ sinh…
Những triệu chứng viêm amidan ở trẻ:
– Trẻ bị đau tai, đau đầu, sốt cao trên 38 độ, hơi thở có mùi hôi.
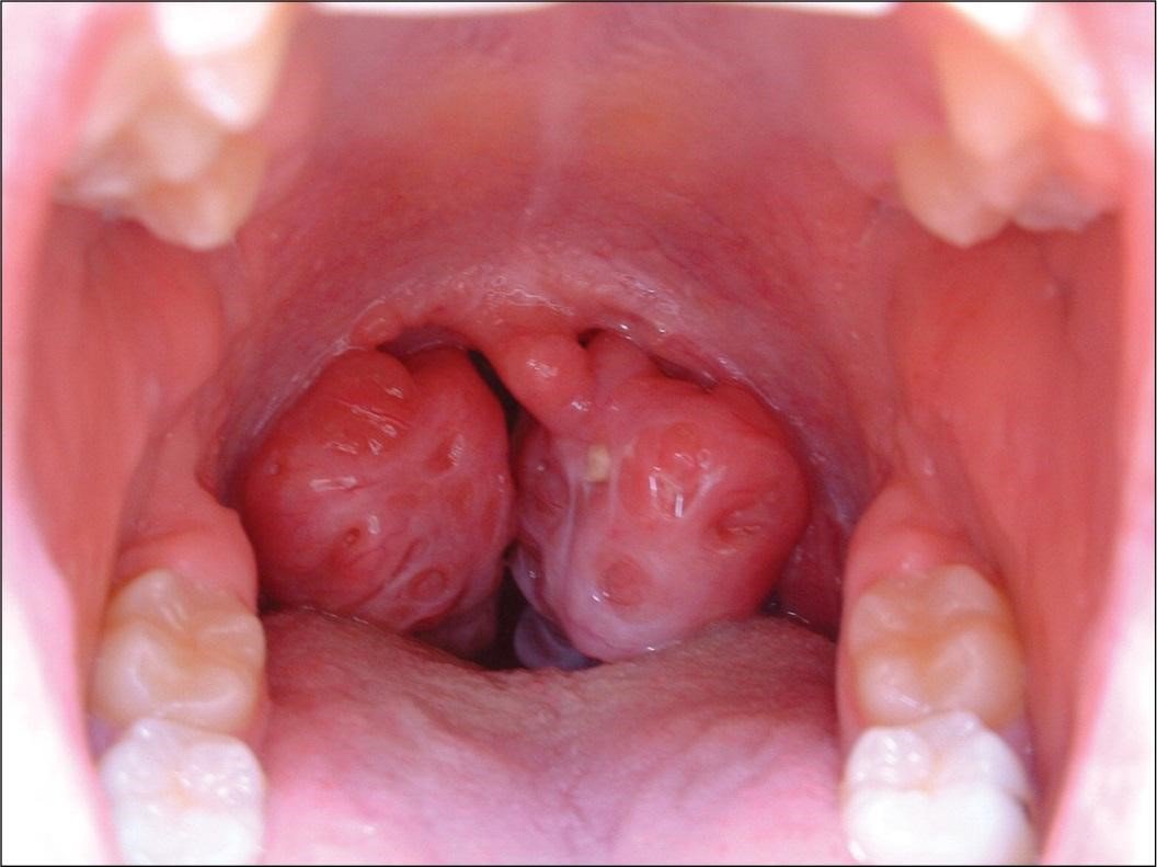
– Ho, đau rát cổ họng, amidan sưng to, đỏ, bề mặt xuất hiện những mủ trắng li ti.
– Cơ thể mệt mỏi, cơ miệng hoạt động khó khăn khiến trẻ em chán ăn…

Những dấu hiệu thấy rõ ở amidan bị viêm.
Những trẻ bị viêm amidan do virut và vi khuẩn sẽ có thêm một vài triệu chứng khác.
Viêm amidan nếu không được điều trị sớm có thể gây ra nhiều biến chứng với cơ thể như:
– Viêm amidan có thể gây ra tình trạng bội nhiễm, áp xe amidan… Kiến cơ thể trẻ mệt mỏi, họng đau, chán ăn, bỏ bữa.
– Khu vực ổ viêm amidan có thể lan rộng sang vùng họng, miệng… gây ra các bệnh về răng miệng, tai mũi họng…
– Trường hợp trẻ bị viêm amidan do vi khuẩn liên cầu nhóm A (St. pyogenes) có thể kiến trẻ bị suy tim, viêm cầu thận, viêm khớp…
– Nếu amidan sưng quá to, gây chèn ép đường hô hấp có thể gây ra tình trạng ngừng thở khi ngủ ở trẻ nhỏ. Đây là một biết chứng cực kỳ nguy hiểm mà các mẹ cần đề phòng.
Khi trẻ có các dấu hiệu bị viêm amidan cha mẹ cần đưa trẻ tới các cơ sở y tế uy tín, có các chuyên gia về tai mũi họng nhi để được điều trị kịp thời tránh những biến chứng cho trẻ.

PGS. TS Nguyễn Thị Hoài An – giám đốc Bệnh viện An Việt, chuyên gia hàng đầu về Tai mũi họng.
Bệnh viện đa khoa An Việt là địa chỉ chữa viêm amidan uy tín ở Hà Nội. Nơi đây là nơi công tác của những bác sỹ hàng đầu nhiều năm trong ngành như PGS. TS Nguyễn Hoàng Sơn – Chủ tịch Hội Tai Mũi Họng Hà Nội và các tỉnh Phía Bắc cùng PGS. TS Nguyễn Thị Hoài An – Nguyên trưởng khoa Tai Mũi Họng trẻ em – Bệnh viện Tai Mũi Họng Trung Ương.
Ngay bây giờ, nếu cần tư vấn, đặt lịch thăm khám, quý khách vui lòng gọi qua hotline: 1900 28 38 – 0965 98 37 73 để được hỗ trợ nhanh nhất.
—————————-
BỆNH VIỆN ĐA KHOA AN VIỆT
Địa chỉ: 1E Trường Chinh, Thanh Xuân, Hà Nội
Hotline: 1900 28 38 – 0965 98 37 73
Website: www.benhvienanviet.com
Fanpage: https://www.facebook.com/benhvienanviet
Tải APP Bệnh viện An Việt để “Tra cứu kết quả – Đặt lịch khám – Video Call với bác sĩ” và hơn thế nữa : https://onelink.to/pjmasd